矯正で顔は小さくなる?小顔に見える仕組みとタイプ別チェック
目次

矯正で顔は小さくなる?小顔に見える理由を解説
「矯正すると小顔になれるの?」「顔が前より小さく見えるって本当?」
そう思って矯正治療を調べる方はとても多いです。
結論からお伝えすると、矯正治療そのものが骨格を小さくするわけではありません。
骨を削る治療ではないため、“顔のサイズが物理的に縮む”ことはありません。
しかし実際には、矯正後に
- 顔が小さく見える
- 小顔になったと言われる
- 横顔がスッキリして見える
- 下顔面が引き締まって見える
といった“視覚的な小顔効果”を感じる人が多いのも事実です。
船堀ガーデン歯科・矯正歯科にも、「小顔に見えたい」「顔の印象を変えたい」という相談が多く寄せられ、治療後に顔がスッキリしたと感じる患者さまは少なくありません。
まずは、顔が大きく見える原因から確認していきましょう。
なぜ顔が大きく見える?小顔に見えない3つの原因

顔が大きく見える理由は複合的ですが、矯正と関係の深いのは以下の3つです。
原因①:口元の突出(出っ歯・口ゴボ)
口元が前に出ていると、顔の“前方向の厚み”が増え、正面でも横顔でも大きく見える印象になります。
・出っ歯
・口ゴボ
・唇が閉じにくい
こうした方は矯正によって前歯が後ろへ下がると、口元全体がスッと引き締まり、小顔に見えやすくなります。
原因②:咬筋(エラ)の発達による横幅の広さ
歯ぎしり・食いしばりが強い人は咬筋が発達し、エラ張りが目立ちます。
これは 顔が横に大きく見える主な原因です。
矯正で噛み合わせが整うと、筋肉にかかる負担が軽減され、
エラの張りが和らぐことで 輪郭が細く見える=小顔印象が生まれます。
原因③:噛み合わせのズレ(左右差・ゆがみ)
片側噛みや中心線のズレは、顔の左右差を強調し、正面から大きく見える印象につながります。
矯正で中心や噛み合わせが整うと輪郭のバランスが整い、顔がスッキリとコンパクトに見えることがあります。
矯正で横顔は変わる?Eラインが整うケースと整わないケース
横顔の美しさに大きく関係するのが、鼻先と顎先を結んだ Eライン。唇がこのラインの内側に収まると、小顔に見えやすくなります。
矯正でEラインが整うかどうかはケースによって異なります。
Eラインが整いやすいタイプ
- 出っ歯(上顎前突)
- 口ゴボ(上下顎前突)
- 唇が前に出て見える
これらのタイプは、矯正で前歯が後退すると横顔が劇的にスッキリし、小顔印象が大きく変わります。
Eラインが整いにくいタイプ
- 顎が小さい
- 下顎が後ろに下がっている¥
- 骨格の前後差が強い
この場合は矯正だけでの改善が難しく、外科的治療を併用することもあります。
治療方法による変化量の違い
- 抜歯矯正:前歯が後退しやすく小顔効果が大きい
- 非抜歯矯正:変化量は比較的控えめ
- インビザライン:前方後退を細かくコントロールしやすい
船堀ガーデン歯科・矯正歯科では、インビザラインゴールドプロバイダーの矯正専門医が3Dシミュレーションを用いて横顔の変化まで精密に設計しています。
当院での変化事例:顔の印象がどう変わるのか?
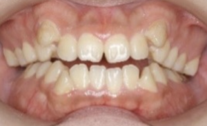
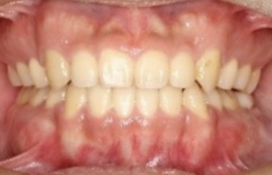
症例①:20代男性(治療期間20ヶ月)


・前歯の前突とデコボコを改善
→ 口元が後方へ下がり、横顔が引き締まって見えるように。
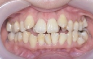
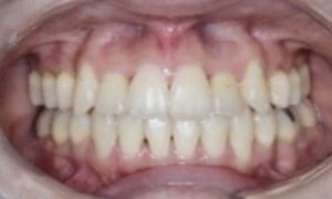
症例②:30代女性(治療期間19ヶ月)


・歯列のガタつきを整えたことで口元の厚みが減少
→ 正面からの輪郭がスッキリし、小顔印象が向上。
矯正は“歯並びだけ”を変える治療ではなく、噛み合わせ・筋肉・呼吸習慣を含めて顔の印象に関わるため、顔全体が引き締まって見える変化が自然に起こりやすいのが特徴です。

マウスピース矯正のメリット・デメリットを徹底解説|ワイヤー矯正との違いも紹介
目立ちにくく痛みが少ないマウスピース矯正。そのメリット・デメリット、ワイヤー矯正との違いをわかりやすく解説します。
矯正で小顔に見えやすいタイプは?顔タイプ診断でセルフチェック
矯正で小顔に見えるかどうかは、あなたがどの“顔タイプ”に当てはまるかで大きく変わります。
以下の3タイプを参考に、自分の傾向をチェックしてみましょう。
タイプ①:口元ボリューム型(最も小顔効果が大きいタイプ)
特徴
- 出っ歯・口ゴボ
- 横顔で口元が前に出ている
- 唇を閉じるときに力が必要
小顔に見える理由
口元が前に出ていると、顔が大きく見えやすいタイプ。
矯正で前歯を後退させると
- 顔の前方向の厚みが減る
- 横顔のEラインが整う
- 下顔面がコンパクトに見える
ため、もっとも劇的に小顔に見える変化が起こりやすいです。
タイプ②:咬筋(エラ)タイプ
特徴
- 歯ぎしり・食いしばり
- エラが張って見える
- 顎の筋肉が硬い
小顔に見える理由
咬筋の発達で横に広がって見えるタイプ。
矯正で噛み合わせの負担が減ると
- エラの張りが和らぐ
- 横幅が細く見える
- 自然なフェイスラインに近づく
といった変化が現れます。
タイプ③:噛み合わせ・ゆがみタイプ
特徴
- 片側だけで噛むクセ
- 顔の左右差が気になる
- 写真で顔の大きさが違って見える
小顔に見える理由
噛み合わせのズレは左右の筋肉バランスを崩し、顔が大きく見える原因にもなります。
矯正で中心が整うと、
- 正面の輪郭が均一に
- 顔が締まって見える
- 表情のバランスが整う
という変化が生まれ、小顔印象が強くなります。
矯正が小顔以外にもたらす3つの大きなメリット

矯正の魅力は小顔効果だけではありません。
健康・機能・心理面でのメリットも非常に大きいものです。
① 虫歯・歯周病のリスクが減少し、歯の寿命が延びる
歯並びが整うと、歯磨きの精度が上がり、汚れが溜まりにくくなって 虫歯・歯周病の発生率が大きく下がります。
当院は総合歯科のため、矯正中の虫歯治療や親知らずの抜歯なども院内で完結できる点が大きな強みです。
② 噛み合わせ改善で顎・首・肩の負担が軽減
噛み合わせが悪いと、顎関節・肩・首などにも無意識の負担がかかります。
矯正により噛み合わせが整うと
- 顎関節症の軽減
- 頭痛・肩こりの改善
- 姿勢バランスの向上
など、全身の調和に繋がるメリットがあります。
③ 口元への自信が生まれ、表情が明るくなる
矯正後の患者さまがよく言われるのが、
- 「自然に笑えるようになった」
- 「写真が怖くなくなった」
- 「人前で堂々と話せるように」
といった心理的変化です。
小顔に見えるだけでなく、口元が整うことで表情・姿勢・コミュニケーションまで前向きに変わるケースが多くあります。

矯正で歯を抜くのはなぜ?メリット・デメリットと抜歯が必要なケースを解説
矯正で抜歯が必要になる理由や、そのメリット・デメリット、抜歯が必要なケースと不要なケースをわかりやすく解説します。
小顔目的で矯正を始める前に知っておくべき注意点
小顔への期待は正しいモチベーションですが、以下の注意点を理解しておきましょう。
① 骨格(頬骨・顎の大きさ)は矯正では変えられない
矯正は“歯の位置を変える治療”であり、骨格そのものを縮めることはできません。
「どこまで変わるのか」を専門医の診断で見極めることが非常に重要です。
② 口元が下がりすぎると老けて見えることがある
抜歯矯正で前歯を大きく下げすぎると、
- ほうれい線が目立つ
- 頬がこける
- 年齢より老けて見える
というリスクも存在します。
当院ではCT・セファロ計測を用いて口元の後退バランスまで精密に設計しています。
③ 見た目だけで治療方針を決めると後悔する
矯正は美容ではなく医療です。
小顔だけを目的に治療を進めると
- 噛みにくい
- 顎関節の不調
- 発音への影響
といった問題を招くことがあります。
当院は“見た目と機能の両立”を最重要視した治療を提供しています。
矯正治療と小顔に関するQ&A
Q1. 矯正で本当に小顔に見えるようになりますか?
矯正は骨格を小さくする治療ではありませんが、口元の突出・咬筋(エラ)の張り・噛み合わせのズレが改善されることで、結果として「顔が以前より小さく見える」方は多くいらっしゃいます。
特に出っ歯や口ゴボ、左右差がある方は変化が分かりやすい傾向があります。
Q2. 小顔に見える効果は誰でも期待できますか?
すべての人が同じように変わるわけではありません。口元が前に出ているタイプ、咬筋が発達しているタイプ、噛み合わせのズレがあるタイプは、矯正後に小顔印象が出やすいですが、頬骨や顎の大きさなど骨格由来の要因は矯正では変わりません。まず原因を把握することが大切です。
Q3. 抜歯矯正のほうが小顔に見えやすいのですか?
出っ歯や口ゴボの方は抜歯により前歯がしっかり後退できるため、横顔がスッキリし、小顔に見えるケースがあります。ただし後退量が多すぎると老け見えにつながる可能性もあるため、当院ではCT・セファロによる精密分析で安全な治療計画を立てています。
Q4. 矯正は痛みがありますか?
装置を付けた直後に軽い痛みが出ることがありますが、多くの方は数日で落ち着きます。インビザラインはワイヤー矯正に比べて痛みが出にくく、見た目も自然なため、日常生活と両立しやすい治療方法です。
Q5. 矯正中に虫歯治療や親知らずの抜歯はできますか?
はい、可能です。当院は矯正・一般歯科・口腔外科が同じ院内で連携する総合歯科のため、矯正中のトラブルもスムーズに対応できます。治療ごとに医院を移動する必要がないため、時間を無駄にせず矯正を進められます。
Q6. 小顔を目的に矯正を考えています。まず何をすべきですか?
まずは「小顔に見えにくい原因」がどこにあるのかを特定することが大切です。口元・筋肉・噛み合わせ・骨格のどれが影響しているかによって、最適な治療法は異なります。当院では初回相談で顔タイプ・噛み合わせ・口元のバランスを総合的に診断し、あなたに合った治療方針をご提案しています。
まとめ:小顔に見える矯正には“正しい診断”が不可欠です
矯正で顔が小さく見えるかどうかは、口元・筋肉・噛み合わせ・左右差・骨格のバランスなど、複数の要素によって決まります。
矯正だけで骨格を変えることはできませんが、正確な診断のもとに治療を行えば、
顔全体が引き締まって見える“小顔効果”は十分期待できます。
船堀ガーデン歯科・矯正歯科では、
- インビザラインゴールドプロバイダーの矯正専門医が常駐
- 口腔外科・一般歯科と連携した総合診療
- CT・セファロを用いた精密な噛み合わせ診断
- 初回カウンセリング無料で気軽に相談できる環境
という強みを活かし、見た目だけでなく機能面も含めた、本当に満足できる矯正治療を提供しています。
矯正で小顔に見えたい、顔の印象を整えたい方はぜひ一度ご相談ください。
あなたの顔タイプ・噛み合わせに合わせた最適な治療方法を、専門医が丁寧にご提案いたします。
著者情報
院長 三宅雄一郎

略歴
東京医科歯科大学歯学部歯学科卒
ワタナベ歯科医院勤務
-研修・経歴-
立川相互病院(初期研修)→東京女子医科大学八千代医療センター(総合救急診療科 → 内視鏡科)
その後、千葉県がんセンターなどで非常勤として消化器内視鏡診療に従事
資格・所属学会
日本顕微鏡学会
日本歯周病学会
東京SJCD レギューラーコース修了
インプラントベーシックコース – ノーベルバイオケア
インプラントベーシックコース – ストローマン
インプラントベーシックコース – アストラテック
この記事を監修した人

船堀ガーデン歯科 矯正歯科 院長
東京医科歯科大学歯学部歯学科を卒業。ワタナベ歯科医院へ6年間勤務医として数多くの症例に携わり、歯科治療技術を研鑽。2020年5月、「船堀ガーデン歯科 矯正歯科」を開院。
一般歯科だけではなく、矯正歯科治療にも力を入れており、2022年にはインビザライン社から功績を認められ、インビザラインGo ゴールドプロバイダーを受賞。地域に密着し、「見てわかる」をモットーに丁寧でわかりやすい治療を提供している。
【略歴】
- 東京医科歯科大学歯学部歯学科 卒業
- ワタナベ歯科医院勤務
- ワタナベ歯科医院勤務
【メディア取材記事】










