MENU

あなたの歯の悩み
一緒に解決します。

  • 矯正治療
  • 歯科治療
  • 口腔外科
  • 小児歯科
  • ホワイトニング
  • クラウン
診療時間
10:00 ~ 13:00
14:30 ~ 18:30
  • … 9:30~ 13:00 / 14:30 ~ 17:30
  • 休診:日曜日・祝日

船堀駅から
徒歩4分

土曜日
診療

  • 当日予約・急患対応
  • 船堀駅徒歩4分

船堀の矯正歯科・歯医者なら
船堀ガーデン歯科 矯正歯科

Information

当院からのお知らせ

令和6年12月2日からマイナンバーカードに移行します。
まだお手元にない場合はご準備をお願いいたします。

詳細はこちら

あなたのお悩み、
ぜひ一度ご相談ください。

Orthodontics

費用が高い

目立たない矯正
を探している

綺麗な歯並びに
なるか不安

痛みが心配

丁寧にカウンセリング
して欲しい

Teeth

虫歯
かもしれない

詰め物が取れた

親知らずが
気になる

予防をしたい

歯を白くしたい

Orthodontic

船堀ガーデン歯科の矯正治療

STRENGTHS 01

豊富な実績数から
インビザラインゴールドプロバイダーに認定

インビザラインプロバイダーとは年間の症例数に応じて認定されるステータスランクです。当院ではゴールドプロバイダーとして認定された矯正歯科専門医が常勤しており、多くの矯正治療に携わった実績が評価されています。症例実績が豊富ということは抜歯が必要な症例や、他院で綺麗に矯正できなかったなどの経験数も必然的に多くなり、難易度の高い矯正治療に対しても適切な治療方針をご提案することに自信があります。

インビザラインゴールドプロバイダーに認定

STRENGTHS 02

矯正治療と同時に
インプラントや一般歯科の治療が可能

矯正治療と同時に審美治療や虫歯治療を行うことは一般的に難易度が高いと言われています。しかし当院では矯正専門医だけではなく、一般歯科治療を行う総合医や口腔外科医が常勤しているため、矯正治療と並行して他治療を進める事が可能です。また、歯の健康状態についての連携を取ることで長期にわたる矯正歯科治療の間、トラブルを見落としにくくなります。

治療風景

STRENGTHS 03

初回カウンセリングは無料。
治療を始める前に丁寧に説明いたします。

当院では誠実に患者様と向き合うために初回カウンセリングをとても重要と考えております。そのため、多くの患者様が安心してご相談いただけるように初回カウンセリングを無料で受け付けております。矯正治療を少しでも検討している方、過去に治療をしたのに綺麗に治らなかった方、現在他院で治療中の方など、お気軽にご相談ください。

初回カウンセリング無料

Case

症例紹介

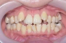
矯正前
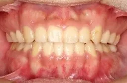
矯正後
年代 20代男性
患者様の主訴 歯並びのでこぼこを直し、前歯で噛み切れるようにしたい
治療期間 20ヶ月
治療費用 920,000円(審美装置選択、検査代、装置代、再診料、保定装置代含む合計)

詳細はこちら

治療内容 上下左右計4本抜歯+マルチブラケット装置による上下顎叢生の改善と、アンカースクリューを用いた上顎大臼歯の圧下ならびに下顎骨の反時計回転によるオープンバイトの改善
リスクと副作用 歯根が短くなるリスク
その後の経過 2年後まで安定
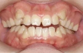
矯正前
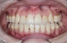
矯正後
年代 30代女性
患者様の主訴 歯並びのでこぼこを直したい
治療期間 19ヶ月
治療費用 795,000円(クリア装置選択、検査代、装置代、再診料、保定装置代含む合計)

詳細はこちら

治療内容 上下左右計4本抜歯+マルチブラケット装置による上下顎叢生の改善と、顎間ゴムによる上下歯列正中の改善
リスクと副作用 歯根が短くなるリスク、顎間ゴムに協力いただけない場合上下歯列正中が合わなくなるリスク
その後の経過 2年後まで安定

Review

お客様の声

年代:20代

性別:女性

悩み親知らずの痛み

患者様の声

横向きに生えていた親知らずを抜歯して頂きました。想像していたよりも痛みが少なく安心しました。
処方してもらった痛み止めが足りなくなりましたが、電話したら追加の痛み止めを用意してくださったので感謝しています。

年代:30代

性別:女性

悩み顎関節の痛み

患者様の声

顎関節が痛いため初めて受診しましたが、先生やスタッフの皆さんとても親切でした。
歯の汚れもあったので歯石除去も併せて対応していただきましたが、施術が丁寧でチクチクしませんでした。船堀駅から近いため場所的にもありがたいです。

年代:40代

性別:男性

悩み親知らず

患者様の声

別の病院では口腔外科を勧められた親知らずを、30分くらいで抜歯してもらいました。今まで通院してきた中で一番の歯医者だと思っています。
歯のトラブルを抱えた人には、電車で通うことも検討してほしいくらいのクリニックです。

年代:30代

性別:男性

悩み歯石・歯垢除去

患者様の声

歯石・歯垢除去のために初めて行きましたが、1回で治療が終わってよかったです。院内は清潔で設備も整っていて、受付や先生の対応も丁寧でした。
キャッシュレスの支払いに対応していて、現金を用意せずに済むのは便利だと思います。

Features

船堀ガーデンの特徴

  • 01 幅広い治療内容

    審美治療から口腔外科、歯周病治療まで、あらゆる歯科の治療を実現

    02 困難な治療も可能

    口腔外科担当医が在籍しているため複雑な症例も対応可能

    03 健康な歯を極力残す

    治療する歯、残すべき歯をカウンセリングしていきます

    04 噛み合わせの治療

    歯並びだけでなく全顎治療で噛み合わせを改善していきます

    05 急患対応可能

    急な歯の痛み、違和感などご相談ください

    06 充実した設備

    CT・セファロ・マイクロスコープ完備

    07 精密な治療

    顕微鏡やマイクロスコープを用いた確かな技術での治療

    08 道具の徹底した除菌・滅菌

    口腔内に入る機材の徹底した除菌・滅菌

Medical

診療のご案内

Instagram

インスタグラム

Menu

診療メニュー

虫歯治療

審美歯科

矯正歯科

インプラント

  • イメージ写真01
  • イメージ写真02
  • イメージ写真03
  • イメージ写真04
  • イメージ写真05