インビザラインのアタッチメントとは?目的・種類・装着期間を徹底解説

目次
インビザラインのアタッチメントとは?
インビザライン矯正を検討されている方なら、「アタッチメント」という言葉を耳にしたことがあるかもしれません。
透明なマウスピースで目立たず矯正できるのがインビザラインの魅力ですが、実は治療を成功させるために重要な役割を果たすのが「アタッチメント」です。
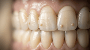
アタッチメントとは、歯の表面に装着される小さな突起物のこと。歯科用のレジン(プラスチック)で作られており、歯の色に近い白色や半透明の材質で目立ちにくくなっています。厚さ0.5mmのマウスピースと組み合わせることで、より効果的な矯正治療が可能になります。
この小さな突起物は、マウスピースと歯の密着性を高め、歯を正しい位置に移動させるための力を効率的に伝える役割を担っています。虫歯治療にも使われる安全な材料なので、長期間装着していても人体に害はありません。
アタッチメントの目的と役割
なぜアタッチメントが必要なのでしょうか?
インビザラインのマウスピースは歯型を採ってオーダーメイドで作製されますが、歯の表面に凹凸がないと、マウスピースが浮いてしまうことがあります。アタッチメントを装着することで、マウスピースが歯にしっかりと密着し、矯正力を適切に伝えることができるのです。
マウスピースの固定力を強化する
アタッチメントの最も重要な役割は、マウスピースと歯の密着性を向上させることです。複雑な歯並びや特殊な歯の形状の場合、マウスピースだけでは十分な固定力が得られないことがあります。アタッチメントがあることで、マウスピースのずれや移動を防ぎ、指定された時間内の矯正力が一定に保たれます。
特定の歯の移動を促進する
歯の動きには様々な方向があります。回転させたり、引き上げたり、押し下げたり・・・。アタッチメントを使用することで、特定の歯に対して精密な矯正力を加えることが可能となり、ねじれた歯や傾いた歯を正しい位置に戻すことができます。これにより、インビザライン単体では対応が難しい複雑な症例にも対応できるようになるのです。
治療期間の短縮に貢献
アタッチメントの適切な使用により、歯の移動を効率的に進めることができます。歯の位置や咬合の調整に必要な力を的確に伝えることで、治療期間を短縮することが可能です。当院では2か月に1回の通院で経過を確認しながら、効率的な治療を進めています。
アタッチメントの種類と特徴
アタッチメントには大きく分けて2つのタイプがあります。
通常アタッチメント
歯科医師が患者さまの歯や骨の状態、治療計画に基づいて手動で設置するアタッチメントです。形状や大きさは、長方形や楕円形などが一般的で、治療の必要性に応じて決定されます。歯に加わる力を補強し、マウスピースの密着性を高めることで、歯をより効果的に移動させる役割を持っています。
最適アタッチメント
インビザラインの設計段階で、専用のシミュレーションソフトウェアによって自動的に設定されるアタッチメントです。特定の歯の動きや複雑な矯正に対応するために、治療計画に組み込まれています。
最適アタッチメントには、さらに細かく分類された種類があります。
ルートコントロール用最適アタッチメントは、歯の根っこを動かす際に使用され、傾いた歯やすきっ歯の治療に役立ちます。主に前歯に装着されることが多いです。
回転用最適アタッチメントは、ねじれている歯を回転させるために使用されます。このアタッチメントは、歯の回転方向に応じた斜面を持っており、犬歯や奥歯に装着されることが一般的です。
アンカレッジ用最適アタッチメントは、抜歯が必要な症例に対応するために設計されています。抜歯によって生じたスペースを埋めるため、歯が移動しやすくなり、効果的な矯正が可能となります。
オープンバイト用最適アタッチメントは、前歯が噛み合わない開咬の治療に使用される挺出用のアタッチメントです。前歯に装着され、歯を適切な方向に導くことで、咬み合わせを改善します。
ディープバイト用最適アタッチメントは、過蓋咬合の矯正に使用されるアタッチメントで、主に下の前歯や小臼歯に装着されます。このアタッチメントは、奥歯の咬み合わせを調整し、過剰な咬合を改善します。

アタッチメントの装着期間と装着時期
いつから装着するのか
多くの場合、アタッチメントは2、3枚目のマウスピースにあわせて歯科医院で設置されます。最初のマウスピースでは、まず歯とマウスピースに慣れていただくことを優先し、その後アタッチメントを装着して本格的な矯正を開始します。
装着期間はどのくらい?
基本的には、保定期間に入るまでアタッチメントをつけていることになります。治療のケースによっては、矯正の途中でアタッチメントを取り外すこともありますが、一般的に治療が完了するまで取り外されることはありません。
装着期間は患者さまの症状や治療計画によって異なりますが、数ヶ月から数年にわたることがあります。治療の進行状況に応じて、途中でアタッチメントを取り外したり、追加装着したりすることもあります。当院では約2か月ごとの定期チェックで経過を確認しながら、必要に応じて調整を行っています。
アタッチメントの取り付け方法
アタッチメントは患者さま自身で付けたり、外したりすることはできません。矯正をしている歯科医院で設置と除去をしてもらいます。
まず歯の汚れを落とすことから始めます。歯表面にプラークや汚れが付いていると、アタッチメントを付けても外れやすくなってしまうからです。歯表面を磨いたあとは、アタッチメントが付きやすくなるように歯に処理剤を塗って乾燥させます。
その後、硬化前のレジンが盛られた専用のマウスピース(テンプレート)を装着。テンプレート装着後は、テンプレートの上から光を当てることで、アタッチメントが硬化し、歯にくっついていきます。すべてのアタッチメントが表面で硬化したら、マウスピースを外し、余分なレジンを削って取り除きます。
アタッチメント装着時の注意点
食事やブラッシング時の注意
アタッチメントを装着したまま食事をすることはできますが、硬い食べ物をかむ際には注意が必要です。ナッツやせんべいなど、硬い食べ物を噛んだときの衝撃でアタッチメントが外れてしまうことがあります。
また、ブラッシング時にはアタッチメント周辺を丁寧に磨くようにしましょう。食事の時にはマウスピースを外すため、アタッチメントがあることによって食物残渣が引っかかることもあります。食後はしっかりと歯を磨いて、アタッチメント周辺を清潔に保つことが大切です。
マウスピースの着脱について
アタッチメントをつけた状態でのマウスピースは、装着や取り外しが難しくなる場合があります。最初は慣れるまで時間がかかるかもしれませんが、歯科医師から正しい着脱方法を指示されるので、指示に従って行いましょう。マウスピースを取り外す際は、均等に力をかけてゆっくり外すことが大切です。
装着感や外見への影響
アタッチメントの装着により、一部の患者さまは違和感を感じる場合があります。また、前歯部分にアタッチメントが設置される場合、若干の目立ちが生じることがありますが、治療計画を立案する際にはできるだけ目立たないように考慮されます。透明なマウスピースと組み合わせることで、治療全体が非常に目立たなくなります。
アタッチメントが取れた場合の対処法
アタッチメントは通常しっかりと接着されていますが、食事やマウスピースの着脱の際に取れてしまうことがあります。
もしアタッチメントが取れてしまったら、焦らずに歯科医院に連絡し、相談してください。すぐにつけ直しが必要かどうかは治療の進行状況によります。大きな移動が終わっている歯の場合はアタッチメントが外れても問題ないケースもあります。
アタッチメントの再発を防ぐためには、マウスピースを取り外す際は均等に力をかけてゆっくり外すこと、硬い食べ物はできるだけ避けること、定期的に歯科医院でアタッチメントの状態をチェックしてもらうことが大切です。
アタッチメントなしでインビザラインは利用できるのか
軽度の歯列不正であれば、アタッチメントなしでインビザライン治療を行える場合もあります。しかし、アタッチメントを使用しない場合、以下のような影響が生じる可能性があります。
歯の移動の制御が難しくなり、特定の歯の移動や傾きの調整が難しくなります。理想的な歯並びの達成に時間がかかる場合があります。また、アタッチメントは矯正力を強化する役割を果たすため、アタッチメントなしの場合、歯の移動に必要な力が不足し、歯の移動が遅くなる可能性があります。その結果、治療期間が延びることがあります。
さらに、マウスピースの安定性が低下し、効果的な矯正力の伝達が難しくなり、治療の効果が低下する可能性があります。
当院では、患者さま一人ひとりの症例に合わせて、アタッチメントの必要性を判断し、最適な治療プランをご提案しています。

船堀ガーデン歯科・矯正歯科のインビザライン治療
船堀ガーデン歯科・矯正歯科は、東京都江戸川区・船堀駅から徒歩すぐの場所にある、マウスピース矯正(インビザライン)に特化した総合歯科クリニックです。
矯正歯科医が常駐しており、患者さま一人ひとりの症例や生活スタイルに合わせて、目立たず快適に続けられる矯正治療をご提案しています。お子さまから成人まで幅広く対応し、「できるだけ負担の少ない矯正」を実現しています。
当院が選ばれる理由
当院のマウスピースは透明素材を使用しているため、装着中もほとんど気づかれません。接客業や営業職など、人前に立つ方にもご満足いただいています。厚さ0.5mmのマウスピースは薄くフィットし、違和感が少ないのが特徴です。
食事や歯みがきの際に取り外しができるため、清潔な口腔環境を保ちながら治療を続けられます。また、通院は2か月に1回と負担が少なく、忙しい方にも続けやすいスケジュール設計です。
当院は矯正専門クリニックではなく、一般歯科・口腔外科を併設した総合歯科医院です。矯正前の虫歯・歯周病の治療、矯正中のトラブル対応、抜歯などもすべて院内で完結できます。他院への紹介が不要なため、治療がスムーズで安心です。
3つのインビザラインプラン
当院では、患者さまの症状や治療目標に合わせて、3つのプランをご用意しています。
インビザライン・フルは、上下全顎に対応し、中〜重度の歯列不正に対応できます。後戻りや咬合改善まで対応可能で、全体的な歯並びや噛み合わせをしっかり整えたい方におすすめです。
インビザライン・Go+は、前歯〜小臼歯に対応し、軽度〜中等度の乱れを短期間で整えるものです。費用・期間を抑えたい方、前歯のすき間や軽いデコボコを短期間で整えたい方に適しています。
インビザライン・ファーストは、6〜10歳の小児向けで、成長期に合わせて顎の発育と歯列を整える小児専用プランです。永久歯が生える前に歯並びを整えたいお子さまにおすすめです。
まとめ
インビザラインのアタッチメントは、透明なマウスピース矯正を成功させるための重要な補助装置です。歯の表面に装着される小さな突起物で、マウスピースと歯の密着性を高め、効率的に歯を動かす役割を果たします。
アタッチメントには通常アタッチメントと最適アタッチメントがあり、患者さまの症状や治療計画に応じて使い分けられます。装着期間は治療が完了するまでの数ヶ月から数年にわたりますが、2か月に1回の定期チェックで経過を確認しながら進めていきます。
アタッチメントを装着したまま食事はできますが、硬い食べ物には注意が必要です。また、アタッチメント周辺を丁寧に磨いて清潔に保つことが大切です。万が一アタッチメントが取れてしまった場合は、焦らずに歯科医院に相談しましょう。
船堀ガーデン歯科・矯正歯科では、矯正歯科医が常駐し、患者さま一人ひとりに最適なインビザライン治療をご提案しています。透明で目立たないマウスピース矯正で、理想の歯並びを手に入れませんか?
まずは無料カウンセリングで、あなたの歯並びのお悩みをお聞かせください。3Dスキャナーで歯並びをデータ化し、治療後のシミュレーションもご覧いただけます。船堀駅から徒歩すぐの当院で、快適なマウスピース矯正を始めましょう。
著者情報
院長 三宅雄一郎

略歴
東京医科歯科大学歯学部歯学科卒
ワタナベ歯科医院勤務
-研修・経歴-
立川相互病院(初期研修)→東京女子医科大学八千代医療センター(総合救急診療科 → 内視鏡科)
その後、千葉県がんセンターなどで非常勤として消化器内視鏡診療に従事
資格・所属学会
日本顕微鏡学会
日本歯周病学会
東京SJCD レギューラーコース修了
インプラントベーシックコース – ノーベルバイオケア
インプラントベーシックコース – ストローマン
インプラントベーシックコース – アストラテック
この記事を監修した人

船堀ガーデン歯科 矯正歯科 院長
東京医科歯科大学歯学部歯学科を卒業。ワタナベ歯科医院へ6年間勤務医として数多くの症例に携わり、歯科治療技術を研鑽。2020年5月、「船堀ガーデン歯科 矯正歯科」を開院。
一般歯科だけではなく、矯正歯科治療にも力を入れており、2022年にはインビザライン社から功績を認められ、インビザラインGo ゴールドプロバイダーを受賞。地域に密着し、「見てわかる」をモットーに丁寧でわかりやすい治療を提供している。
【略歴】
- 東京医科歯科大学歯学部歯学科 卒業
- ワタナベ歯科医院勤務
- ワタナベ歯科医院勤務
【メディア取材記事】









